「瑞金胸外」病例拾萃74 · 肋骨朗格汉斯细胞组织组织增生症的诊疗

2025-12-23 09:49| 发布者: 挖安琥| 查看: 122| 评论: 0

放大 缩小
简介:*2023年3月起,瑞金医院胸外科在每日常规查房的基础上,增设每周一次的英语教学查房,旨在提高青年医生的业务能力与外语水平。现将部分病例与广大读者分享,欢迎交流,共同进步!患者女性,52岁,因“右侧胸壁疼痛2 ...


2023年3月起,瑞金医院胸外科在每日常规查房的基础上,增设每周一次的英语教学查房,旨在提高青年医生的业务能力与外语水平。现将部分病例与广大读者分享,欢迎交流,共同进步!


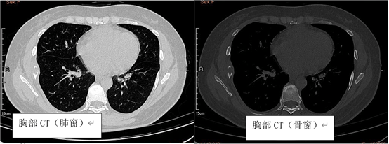
患者女性,52岁,因“右侧胸壁疼痛2周”就诊。患者2025年8月中旬开始无明显诱因下出现右侧胸壁疼痛,表现为右侧胸壁持续性钝痛,需口服NSAID类止痛药才能缓解,病程中,患者否认胸闷、气急、刺激性咳嗽、咳痰、咯血、发热等不适,患者遂于外院就诊,2025.08.28外院予以行胸部平扫CT检查提示右侧第7肋骨肿物伴骨质破坏,2025.08.30予以进一步行PET/CT检查提示右侧第7肋骨肿物,大小约2.0*3.0cm,伴周围骨质破坏,FDG代谢增高,SUVmax=8.6,考虑恶性病变可能,倾向原发,未见其他部位肿瘤性病变。后患者于我院就诊,入院予以肋骨三维CT重建(2025.09.02)提示右侧第7肋骨肿物伴病理性骨折,骨扫描(2025.09.03)提示右侧第7侧肋可见局部骨质密度减低伴骨质破坏,考虑恶性病变,余未见其他骨病变,头颅增强MRI检查未见颅内病变。


予以完善术前检查及准备,明确手术指征,排除手术禁忌后于2025.9.5全麻下行右侧第七肋骨切除+部分第6及第7肋间肌切除+部分壁层胸膜完整切除术,术中冰冻提示恶性肿瘤可能,肋骨切缘阴性。术后予以对症处理,恢复良好,术后第2天拔除引流管,术后第3天出院。


术后石蜡病理报告:病灶内见组织细胞样细胞增生,伴嗜酸性粒细胞浸润,见散在多核巨细胞,免疫组化:S-100+,CD1a+,Langerin(CD207)+,KP-1部分细胞+,PGM-1部分细胞+,CD20-,CD34-,CD79a-,SMA-,BrafV600E部分细胞+,CD56-,Ki67热点区域约为20%,结合免疫组化结果,符合郎格汉斯细胞组织细胞增生症的诊断,肋骨两侧切缘均为阴性。


讨论


Discussion


一、郎格汉斯细胞组织细胞增生症概述


1.定义


朗格汉斯细胞组织细胞增生症(Langerhans cell histiocytosis,LCH)是一种以CD1a +/CD207 +未成熟树突状细胞异常增生,导致该细胞浸润组织器官和引起功能障碍为特征的克隆性、肿瘤性增殖性疾病,其发生主要涉及促分裂素原活化蛋白激酶(mitogen-activated protein kinases,MAPK)信号通路的异常激活,由朗格汉斯蛋白阳性(CD207+)的组织细胞和炎症浸润组成的肉芽肿性病变几乎可在任何器官系统中出现,但特别倾向于骨骼、皮肤、肺部和垂体。朗格汉斯细胞组织细胞增生症的临床表现差异很大,从单个缓慢发展的病变到迅速发展的多系统疾病都有可能[1,2]。


2.流行病学


朗格汉斯细胞组织细胞增生症发病率在儿童群体中高于成人,在15岁以下儿童中的发病率为4.6例/100万,男女比例为1.2:1,成人发病率为1-2例/100万,但因为部分患者病程缓慢且无明显症状,因此在成人中的发病率可能被低估[1]。


3.分类


朗格汉斯细胞组织细胞增生症的分类主要基于病变的部位,受累器官的数量 (单系统或多系统/单病灶或多病灶)以及是否累及危险器官(骨髓、肝或脾),分为以下三类[2]:


1)单系统单病灶 LCH:仅有单一系统或单一病灶受累 ;


2)单系统多病灶LCH:单个器官或系统>1 个病灶;


3)多系统 LCH:指≥2 个器官或系统受累。多系统 LCH 患者还可根据是否合并肝、脾、骨髓受累分为有危险脏器受累和无危险脏器受累。


4.临床表现


朗格汉斯细胞组织细胞增生症的临床表现主要跟受累的器官相关。LCH主要累及的脏器为骨骼、肺、垂体、皮肤、淋巴结、肝脏、脾脏及骨髓。其中骨骼为最常见的受累器官,80%的LCH患者存在骨骼病变,最常见的受累骨骼部位为头颅骨,其次为脊柱、四肢骨、骨盆和肋骨,表现为溶骨性改变,其中一半的患者为单系统单病灶的病变。肺受累的患者可出现咳嗽、气胸、呼吸困难等。垂体受累的患者可能出现中枢性尿崩症。皮肤受累的患者表现为红色斑丘疹,可有鳞屑状表现,也可累及口腔、生殖器黏膜。肝脏、脾脏及骨髓受累的患者病程进展较快,预后较差。


5.诊断


朗格汉斯细胞组织细胞增生症的影像学诊断首选PET/CT,尤其是对于骨骼病变的检出要优于CT和MRI,表现为高摄取的溶骨性改变。中枢神经系统病变首选MRI检查,肺部病变首选胸部CT。但LCH的确诊主要靠病理诊断,其主要病理形态学特点为:瘤细胞呈片、巢状分布,胞质丰富、淡染,细胞核呈肾形、咖啡豆样、有核沟,背景常伴有淋巴细胞、嗜酸性粒细胞、组织细胞、纤维母细胞及多核巨细胞。免疫组化特点为CD1a、Langerin(CD207)及S-100蛋白阳性,其中CD1a和Langerin的灵敏度及特异度均较高,是确诊LCH所必需的[3]。此外,超过50%的患者合并有BRAF-V600E的突变[4]。


6.治疗


对于孤立性骨病变的患者,可选择观察随访或局部治疗,局部治疗包括手术切除及局部放疗,大部分孤立性皮肤病变可自行消退,对于孤立性肺部病灶的患者需严格戒烟,若有症状或肺部病变持续进展需考虑全身治疗,对于单系统多病灶及多系统多病灶的LCH患者需采取全身治疗。全身治疗主要包括靶向治疗及化疗。对于合并BRAF-V600E突变的患者,可予以行BRAF抑制剂如维莫非尼或达拉非尼等靶向治疗,化疗推荐使用阿糖胞苷或以阿糖胞苷为基础的联合化疗如联合甲氨蝶呤、克拉屈滨,VP方案(长春碱类+泼尼松)是儿童LCH患者化疗的首选方案。


二、肋骨郎格汉斯细胞组织细胞增生症的诊疗


成人孤立性肋骨朗格汉斯细胞组织细胞增生症较为罕见,且需要进行多种鉴别诊断,包括与肋骨良性及恶性肿瘤进行鉴别诊断[5]。首选的影像学检查为PET/CT检查,基线评估还应包括头颅MRI检查以排除颅内中枢神经系统病变。目前关于孤立性肋骨朗格汉斯细胞组织细胞增生症的诊疗研究较少,大多为病例报告。一篇2022年的综述回顾分析了11例肋骨LCH的病例报告,女性5例,男性6例,年龄范围在24至60岁之间,其中8例接受了手术切除治疗,1例接受了化疗,2例仅进行观察随访,其中8名接受手术切除的患者术后未出现复发,预后良好,提示手术治疗肋骨LCH是可行的治疗手段[6,7]。另一项研究纳入了61例骨骼LCH的患者,包括肋骨、颅骨及骨盆,接受了以手术切除为主的治疗,仅有2例出现了复发,同样展现了手术在单骨系统累及的LCH患者中优异的疗效[8]。2025年一项研究纳入了4名肋骨LCH的患者,均为男性,年龄32至44岁之间,两名患者为单病灶,另外两名患者为多病灶,其中两名单病灶患者接受了单纯手术切除治疗,多病灶的两名患者接受了手术联合化疗的治疗方案,四名患者均预后良好[9]。


总结


因此,基于现有的少量研究及临床实践,对于肋骨LCH的患者,应进行充分的术前评估,包括全身PET/CT及头颅MRI评估基线疾病负荷,对于单发的肋骨LCH的患者,手术切除是可治愈的治疗策略,对于多病灶的患者,手术切除联合全身治疗也可获得良好的临床疗效,但仍需要大规模的前瞻性研究进行验证。


作者:喻盛佳,张能冲


审核:张亚杰,朱良纲,李鹤成


参考文献:


[2] 中华医学会血液学分会罕见病学组,中国朗格汉斯细胞组织细胞增生症协作网络. 成人朗格汉斯细胞组织细胞增生症诊疗中国专家共识(2025年版). 中华血液学杂志,2025,46(05):397-401.


[3] 中华医学会病理学分会儿科病理学组,福棠儿童医学发展研究中心病理专业委员会,中国抗癌协会小儿肿瘤专业委员会病理学组. 朗格汉斯细胞组织细胞增生症病理诊断专家共识. 中华病理学杂志,2022,51(08):696-700.


二手表·回收·购买·评估·鉴定

点击二维码可快速添加客服微信

客服微信:19512235704(长按复制)


路过

雷人

握手

鲜花

鸡蛋
版权声明:免责声明:文章信息来源于网络以及网友投稿,本网站只负责对文章进行整理、排版、编辑,是出于传递 更多信息之目的, 并不意味着赞同其观点或证实其内容的真实性,如本站文章和转稿涉及版权等问题,请作者在及时联系本站,我们会尽快处理。
已有 0 人参与

会员评论

最新文章

文章列表

 万奢网手机版

官网微博:万奢网服务平台

今日头条二维码 1 微信公众号二维码 1 抖音小程序二维码 1
上海万湖珠宝贸易有限公司 地址:上海市宝山区共和新路4727号新陆国际大厦1003-1007室 网站经营许可证 备案号:沪ICP备11005343号-12012-2019
万奢网主要专注于手表回收,二手名表回收/销售业务,可免费鉴定(手表真假),评估手表回收价格,正规手表回收公司,宝山实体店,支持全国范围上门回收手表
返回顶部